مركز زركون CadCam | تقويم وتجميل وزراعة الأسنان بتقنيات متطورة
✨ تلبيسات الزيركون بشفافية الإيماكس - تحول الأسنان المتعبة والمصابة بالتكسّر والتصبغات إلى ابتسامة ناصعة البياض تزيد من ثقتك بنفسك 🦷🤍
🦷 تحت إشراف الدكتور / أحمد الشطبي - اختصاصي طب وتجميل الأسنان
📊 دراسة حالة: تحول كامل من التلف إلى الابتسامة المثالية
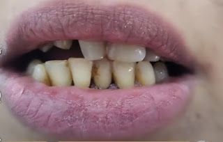
▪️ المشاكل التي كانت تعاني منها المريضة:
- تصبغات شديدة نتيجة العوامل الوراثية وتناول المشروبات الملونة
- تآكل في حواف الأسنان بسبب صرير الأسنان الليلي
- كسور متعددة في الطبقة الخارجية للمينا
- فراغات بينية وتزاحم في القواطع
- عدم انتظام في اصطفاف الأسنان
🛠️ البروتوكول العلاجي المتكامل:
- تشخيص دقيق باستخدام الأشعة ثلاثية الأبعاد والتصوير الرقمي
- تصميم ابتسامة رقمي (Digital Smile Design) يتناسب مع شكل الوجه والشفاه
- تحضير محافظ للأسنان مع الحفاظ على 85% من الميناء الطبيعي
- أخذ القياسات باستخدام الماسح الضوئي ثلاثي الأبعاد بدقة 5 ميكرون
- تصنيع تلبيسات زيركون بشفافية الإيماكس بتقنية الكاد كام المتطورة
- ضبط الإطباق بشكل دقيق لتجنب مشاكل المفصل الفكي


🎯 النتائج المتحققة:
✅ ثبات لون لمدة تصل إلى 15 سنة
✅ صلابة تصل إلى 1200 ميجا باسكال
✅ حماية كاملة للسن من التلف
✅ ابتسامة طبيعية متناسقة من أول جلسة
✅ راحة مطلقة في الإطباق والمضغ
🔬 معلومات علمية عن تقنية الزيركون والكاد كام:
تقنية الكاد كام (CAD/CAM) تمثل ثورة في طب الأسنان الحديث، حيث تتيح:
- دقة تصنيع تصل إلى 20 ميكرون
- تخفيض وقت العلاج بنسبة 60%
- نتائج متوقعة ومضمونة الجودة
- توافق حيوي كامل مع أنسجة الفم
مادة الزيركون (أكسيد الزركونيوم) تتميز بـ:
- قوة تحمل تصل إلى 1200 ميجا باسكال
- شفافية عالية تحاكي الأسنان الطبيعية
- مقاومة عالية للتصبغات والبكتيريا
- عمر افتراضي يصل إلى 15-20 سنة
⭐ لماذا مركز زركون هو الخيار الأمثل؟
- ✅ أول مركز في اليمن يستخدم تقنية الكاد كام المتكاملة
- ✅ حاصل على شهادة الجودة العالمية ISO 9001:2015
- ✅ رائد في الابتسامة الرقمية وتصميم الابتسامة
- ✅ الأول في صناعة الأطقم المتحركة الإلكترونية
- ✅ المركز الرائد في الزراعة الرقمية وتقويم الأسنان الشفاف
- ✅ يستخدم الميكروسكوب في علاج العصب بدقة عالية
- ✅ يعتمد على الأشعة الرقمية في جميع التشخيصات
- ✅ فريق طبي متخصص ذو كفاءة عالية
- ✅ أسعار مناسبة وجودة لا تنافس
💵 عروضنا الخاصة:
🎁 تلبيسة الزيركون بسعر 100 دولار فقط للسن الواحد
🎁 استشارة مجانية مع اختصاصي تجميل الأسنان
🎁 خصم 20% على تقويم الأسنان الشفاف
🎁 ضمان يصل إلى 10 سنوات على التلبيسات
📍 عناوين我们的 وفروعنا:
▪️ صنعاء - الدائري الغربي- تقاطع شارع عشرين- جولة الضبيبي سابقاً
▪️ إب - شارع الدائري - أمام بوابة جامعة إب (قريباً)
🌐 مواقعنا الإلكترونية:
📞 للاستفسار والحجز:
📲 واتساب: 777938352
📱 اتصال مباشر: 770605604



















