تقرير فني شامل
تحليل تقنيات وأطقم الأسنان في مركز زركون CAD CAM: الأطقم التقليدية والرقمية والمرنة في السياق اليمني
التحول الرقمي في صناعة التعويضات السنية في اليمن: مركز زركون أنموذجاً
يشهد قطاع طب الأسنان في الجمهورية اليمنية تحولاً جوهرياً من الممارسات التقليدية اليدوية إلى الحلول الرقمية المتكاملة، ويأتي مركز زركون (الجماعي) CAD/CAM كواحد من المؤسسات الرائدة التي قادت هذا التغيير عبر فروعه في صنعاء وإب. إن الانتقال إلى "الطب التقني" بدلاً من "الطب اليدوي" ليس مجرد تغيير في الأدوات المستخدمة، بل هو إعادة صياغة كاملة لبروتوكولات التشخيص والتصنيع لضمان أعلى معايير الدقة والسرعة.
ويعد فرع محافظة إب، الواقع في شارع الدائري أمام بوابة جامعة إب، منشأة متكاملة تهدف إلى توفير أحدث ما توصلت إليه تكنولوجيا الأسنان العالمية للمجتمع المحلي، معتمداً على كادر طبي متخصص وتجهيزات تقنية متطورة تشمل الأشعة الرقمية والميكروسكوب الإلكتروني.
إن حصول مركز زركون على شهادة الجودة العالمية ISO 9001:2015 يضعه في مرتبة الريادة كأول مركز تقني في الجمهورية ينال هذا الاعتماد، مما يعكس الالتزام الصارم بمعايير الجودة في كافة مراحل العمل. هذا الالتزام يهدف إلى معالجة المشاكل المزمنة التي واجهت أطباء الأسنان، مثل عدم دقة الحواف، أو تفاوت الألوان، أو الارتفاع في "العضة" السنية.
من خلال معمل الجماعي كاد كام، تتوفر حلول دقيقة تشمل الزركونيا، والإيماكس (e.max)، ومادة PMMA، وتصميم الأدلة الجراحية، مما يضمن استمرارية التعويضات لفترات طويلة مع توافق حيوي تام يمنع الالتهابات.
| الميزة التقنية | الوصف والوظيفة | الأثر على المريض والطبيب |
|---|---|---|
| نظام CAD/CAM | التصميم والتصنيع بمساعدة الحاسوب | دقة متناهية وسرعة في التسليم |
| الماسح الضوئي (3D) | أخذ القياسات بالضوء بدلاً من العجينة | راحة المريض ودقة القياسات الميكرونية |
| الابتسامة الرقمية | رؤية النتيجة النهائية قبل البدء | زيادة رضا المريض وثقته في النتيجة |
| الميكروسكوب الإلكتروني | استخدامه في سحب العصب الآلي | دقة عالية جداً في المعالجات اللبية المعقدة |
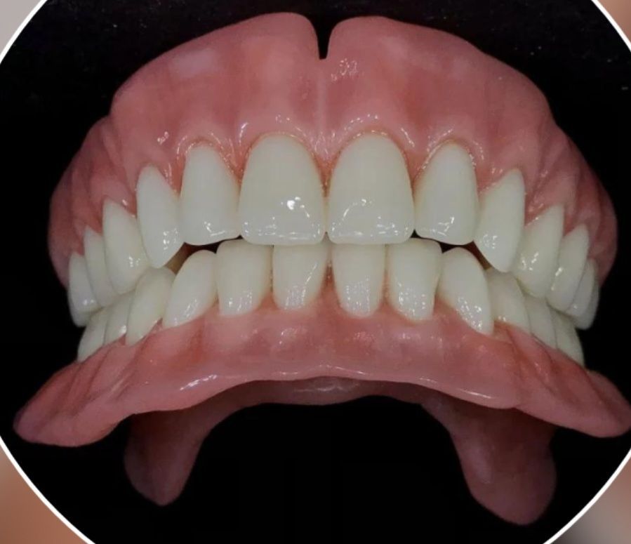
الأطقم السنية التقليدية (العادية): الميكانيكا والخصائص المادية
تظل الأطقم السنية التقليدية خياراً لا غنى عنه، خاصة للحالات التي تتطلب حلولاً اقتصادية أو تعاني من فقدان كامل للأسنان مع امتصاص عظمي يحول دون الزراعة الفورية. في مركز زركون، يتم التعامل مع هذه الأطقم بأسلوب علمي يتجاوز عيوب الصناعة التقليدية اليدوية.
الأطقم الأكريلية الكاملة والجزئية
تعتمد على مادة "راتنج ميثاكريلات الميثيل" (PMMA)، وهي خفيفة الوزن وتحاكي لون اللثة. لتفادي المسامية وتراكم البكتيريا التي قد تحدث في التصنيع اليدوي، يطبق المركز معايير بلمرة حرارية دقيقة تمنع الانكماش وتضمن دقة التطابق مع الأنسجة.

أطقم الشبكات المعدنية (Cobalt Chromium)
بالنسبة للأطقم الجزئية، يبرز خيار "الكروم كوبالت" كحل متميز للقوة. تتميز هذه الشبكات بمقاومة فائقة للكسر وسطح أملس يمنع تراكم "اللويحة الجرثومية". يتم تصميم الشبكات في المركز بأقل سماكة ممكنة لتوفير الراحة القصوى للمريض.
| خاصية المادة | الأطقم الأكريلية | أطقم الكروم كوبالت |
|---|---|---|
| الوزن | خفيفة جداً | متوسطة الثبات |
| المتانة | معرضة للكسر مع الوقت | مقاومة عالية جداً للكسر |
| التوافق الحيوي | جيد (قد يسبب حساسية للبعض) | ممتاز ومقاوم للتآكل والصدأ |

الأطقم السنية المرنة (Flexible Dentures): الابتكار الجمالي والحيوي
تمثل الأطقم المرنة ثورة في عالم التعويضات المتحركة، حيث قدمت حلاً للمشكلات الجمالية للمشابك المعدنية. يعتمد المركز في تصنيعها على مادة "النايلون" اللدنة حرارياً، مما يجعلها رقيقة وقابلة للانحناء لتتكيف مع حركة أنسجة الفم.
تعد الجمالية هي الميزة الأبرز، حيث تندمج المشابك الشفافة مع لون اللثة. كما أنها خالية من مادة (BPA) وتعتبر بديلاً ممتازاً لمن يعانون من حساسية المعادن. يوفر المركز "الأطقم الجزئية المرنة كاد كام" التي تجمع بين مرونة المادة ودقة التصميم الرقمي عبر الماسح الفموي.
تنبيه فني: الأطقم المرنة تتطلب عناية خاصة ولا تقبل عملية "التبطين" أو الإصلاح السهل في حال انكسارها، لذا يوصي المركز بالالتزام ببروتوكولات التنظيف لضمان عمرها الافتراضي.
| المعيار | الأطقم المرنة (Flexible) | الأطقم التقليدية الصلبة |
|---|---|---|
| الراحة | عالية جداً بسبب المرونة | متوسطة وقد تسبب ضغطاً |
| المظهر | طبيعي جداً ومشابك غير مرئية | مشابك معدنية قد تكون ظاهرة |
| القابلية للإصلاح | محدودة جداً | سهلة الإصلاح والتبطين |

أطقم الأسنان بتقنية CAD CAM: العصر الذهبي للتعويضات الإلكترونية
يعد مركز زركون المركز الأول في اليمن في صناعة الأطقم المتحركة الإلكترونية، حيث تنقل هذه التقنية الصناعة من العمل الحرفي إلى الدقة الصناعية الرقمية. يتم تصنيع قاعدة الطقم عن طريق قطعها من كتل أكريليك مضغوطة مسبقاً تحت ضغط يصل إلى 50 ضعف الضغط التقليدي.
هذا الضغط الهائل ينتج قاعدة ذات كثافة عالية ومسامية شبه معدومة، مما يقلل بشكل كبير من احتمالية استعمار فطريات "الكانديدا" ويمنع امتصاص الروائح الكريهة. كما تضمن هذه التقنية دقة متناهية في انطباق الحواف، مما يقلل من الحاجة لتعديلات العضة المتكررة.
ميزة الأرشفة الرقمية: يحفظ المركز البيانات الرقمية لكل حالة؛ ففي حال فقد المريض طقمه، يمكن إعادة إنتاجه بنفس الدقة وبسرعة فائقة دون الحاجة لزيارات قياس جديدة.
| مرحلة العمل الرقمي | الأداة / التقنية | الفائدة المحققة |
|---|---|---|
| جمع البيانات | الماسح الضوئي ثلاثي الأبعاد | دقة القياس وراحة المريض التامة |
| التصميم | برنامج النمذجة (CAD) | محاكاة الابتسامة وتعديل الشكل مسبقاً |
| الإنتاج | ماكينة الخراطة (CAM) | متانة المادة ودقة انطباق الحواف |

مواد التركيبات السنية المتقدمة: الزركونيا والإيماكس
يمثل "الزركون" المادة الأبرز التي ارتبط بها اسم المركز، وهي تجمع بين الصلابة الفولاذية والجمال الطبيعي. يستخدم المركز أنواعاً متعددة لتناسب كافة الحالات، بدءاً من التيجان المنفردة وصولاً لتركيبات الزرعات.
تركيبات الزركونيا متوافقة حيوياً تماماً ولا تسبب حساسية المعادن أو تلون اللثة باللون الداكن. وللأسنان الأمامية، يوفر المركز "الزركونيا عالية الشفافية" وتركيبات "الإيماكس" (e.max) التي تتميز بشفافية تحاكي مينا الأسنان الطبيعية، وتعتبر الخيار الأول للعدسات السنية (Veneers).
| مادة التركيبة | القوة الميكانيكية | الخصائص الجمالية | الاستخدام المفضل |
|---|---|---|---|
| الزركونيا (Zirconia) | عالية جداً (1200+ MPa) | لون طبيعي وشفافية متدرجة | التيجان والجسور والزرعات |
| إيماكس (e.max) | متوسطة (400 MPa) | جمالية فائقة وشفافية عالية | العدسات التجميلية (Veneers) |
| تيتانيوم (Titanium) | فائقة ومقاومة للتآكل | لا تستخدم للأجزاء الظاهرة | هياكل الزرعات والدعامات |
خدمات مركز زركون التخصصية والتحليل الاقتصادي
يمتد تميز المركز ليشمل المعالجات اللبية (سحب العصب) باستخدام الميكروسكوب الإلكتروني، والزراعة الرقمية الموجهة عبر "الدليل الجراحي" الذي يحدد زاوية وضع الزرعة بدقة ميكرونية، مما يقلل الألم ويزيد سرعة الالتئام.
يدرك المركز التحديات الاقتصادية في اليمن، لذلك يقدم عروضاً تنافسية تشمل سعر تلبيس سن الزركون بـ 90 دولاراً، وعروضاً خاصة في المناسبات (مثل المولد النبوي). حصل المركز على تقييم (5/5) في النظافة والدقة، مما يعكس نجاح استراتيجية الدمج بين التقنية والخبرة البشرية.
| الخدمة التخصصية | التقنية المستخدمة | القيمة المضافة للمريض |
|---|---|---|
| سحب العصب | ميكروسكوب إلكتروني | دقة متناهية ومنع فشل المعالجة |
| زراعة الأسنان | دليل جراحي (Surgical Guide) | جراحة أقل توغلاً ونجاح مضمون |
| التقويم | القوالب الشفافة (Aligners) | مظهر غير مرئي وراحة تامة |
الخلاصة والتوصيات الفنية
يمثل مركز زركون CAD CAM قصة نجاح في توطين التكنولوجيا العالمية لخدمة المجتمع اليمني. وبناءً على المعطيات الفنية، نوصي بالآتي:
- للصلابة الدائمة: اختر تركيبات الزركونيا المصنعة بالكاد كام للأسنان الخلفية.
- للجمال الفائق: مادة الإيماكس هي الخيار الذهبي للعدسات الأمامية.
- للراحة الفورية: الأطقم المرنة توفر حلاً جمالياً مريحاً بدون مشابك معدنية.
- للصحة الفموية: الأطقم الرقمية (CAD CAM) هي الأكثر دقة ومقاومة للفطريات والروائح.



















